12 年
手机商铺
技术资料/正文
3255 人阅读发布时间:2024-04-01 16:04
脂肪肝分为酒精性脂肪肝和非酒精性脂肪肝。
非酒精性脂肪性肝病,是指以肝脏脂肪变性为主要特征的临床病理综合征,包括非酒精性脂肪肝,也称单纯性脂肪肝(NAFL),以及由其演变的脂肪性肝炎(NASH)、脂肪性肝纤维化、肝硬化,甚至肝癌。
目前,非酒精性脂肪性肝病已经是西方国家和我国最常见的肝脏疾病,病因较多,比如高热量饮食,含糖饮料,久坐少动等生活方式,肥胖、二型糖尿病、高脂血症、代谢综合征等也会引起非酒精性脂肪肝。
如何非酒精性脂肪肝构建?
单纯性的高热量饮食
单纯性的高热量饮食可达肥胖症程度,进而形成脂肪肝。
造模方式:小鼠一般常用XTHF60(60%脂肪供能),大鼠使用XTHF45(45%脂肪供能),造模周期10-12周,但不适用于NASH模型构建。
高脂高果糖高胆固醇饮食
高脂高果糖高胆固醇饮食能模拟人类疾病形成机制,但周期比较长。
造模方式:大、小鼠使用XT301(起酥油版本)或者XT310(棕榈油版本),动物不会很胖,造模周期14周左右,可用于NASH模型构建。
蛋氨酸限制、胆碱缺乏饮食
蛋氨酸限制、胆碱缺乏饮食:成模周期短,肝炎、肝纤维化。
造模方式:
MCD(蛋氨酸、胆碱缺乏饮食),MRCD(蛋氨酸微量、胆碱缺乏饮食),造模周期4-8周,实验动物状态较差、逐渐消瘦,甚至死亡;
HFMRCD(45%脂肪供能或60%脂肪供能基础,蛋氨酸微量、胆碱缺乏饮食),造模周期4-6周,实验动物可有效保持体重,生存周期也会延长。
胆碱缺乏饮食
由于蛋氨酸含量正常,用胆碱缺乏饮食诱导疾病模型的成模速度比MCD要慢一些,但试验动物体重仍旧保持逐渐增加,精神保持良好。
造模方式:建议HFCD(高热量基础上胆碱缺乏),造模周期8-10周,14-16周发展至肝纤维化。
成模判定
生理学指标:肝指数=肝脏湿重(g)/体重(g)*100%;
生化指标:肝脏总脂、血浆游离脂肪酸、血糖、血浆胰岛素、ALT、AST、TC、TG等的含量检测;
形态学方面:肝组织切片染色,观察是否有脂肪沉积、炎症、炎性细胞浸润、坏死、线粒体损伤、胶原染色观察等等。
MCS、MCD、MRCD60、CD60
模型饲料的实验结果对比
各模型饲料数据对比

小鼠肝组织HE染色结果

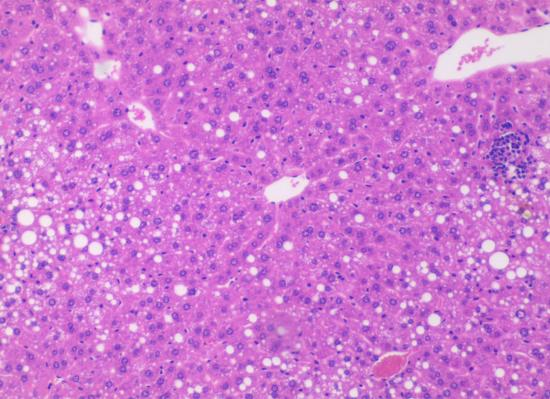
图1
HE染色MCS饲料组(6周)

图2
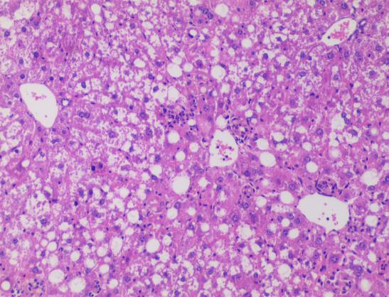
HE染色MCD饲料组(6周)

图3
HE染色MRCD60饲料组
(6周)

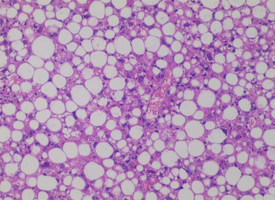
图4
HE染色CD60饲料组
(6周)
*注:
图1 小鼠肝脏组织肝小叶与汇管区结构正常,肝索排列整齐。正常肝组织肝索以中央静脉为中心,呈放射状排列,细胞形态清晰。
图2小鼠肝脏组织出现了大量的脂肪空泡,小鼠肝脏组织肝小叶与汇管区结构异常,肝索消失。
图3 MRCD60饮食引起小鼠出现肝脂肪变性及肝小叶炎性浸润。
图4 肝小叶结构紊乱、肝细胞胞浆内以小泡性脂肪病变为主。
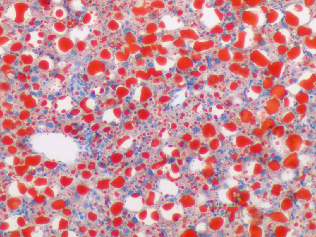
小鼠肝组织油红染色结果

图5
油红染色MCS饲料组
(6周)

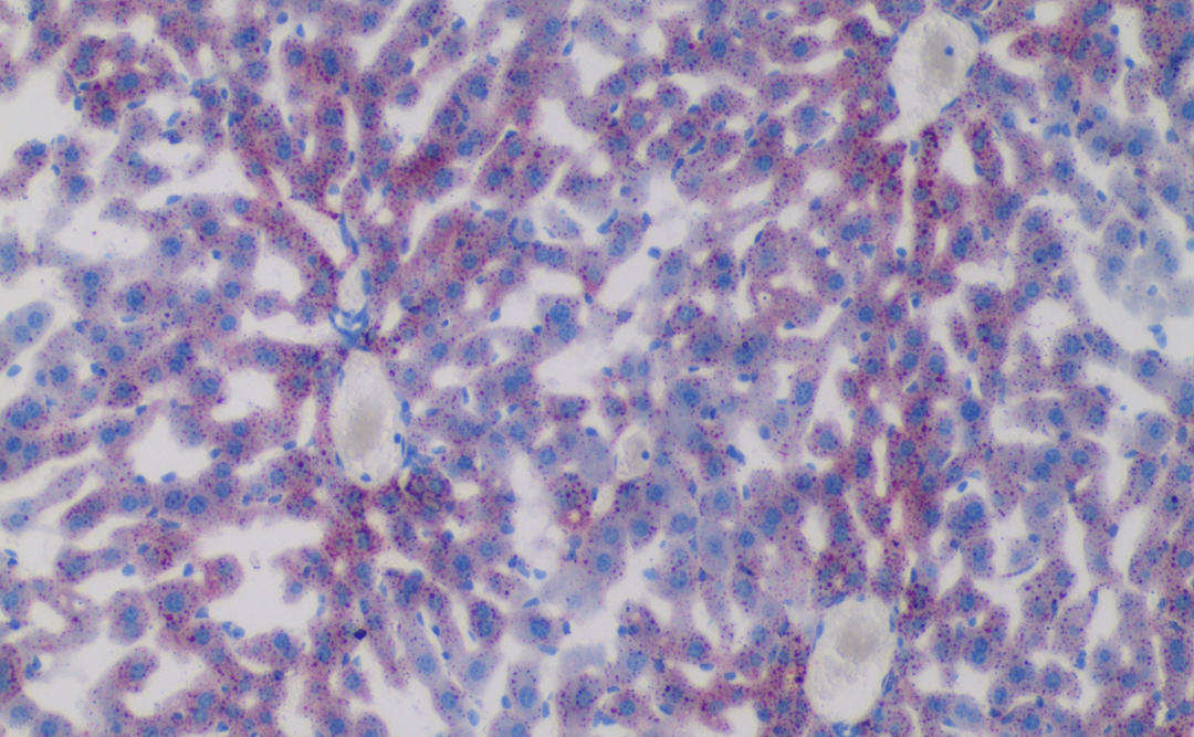
图6
油红染色MCD饲料组
(6周)

图7
油红染色MRCD60饲料组
(6周)

图8
油红染色CD60饲料组
(6周)
*注:
图6油红O染色显示,MCD组小鼠肝组织内出现了大量、形态大小不一的红色脂滴沉积。
图7油红O染色结果显示,MRCD60饮食引起小鼠出现大量的脂肪累积。
图8油红O染色结果显示,CD60组小鼠肝脏组织几乎全部红染。
各模型血液指标对比


肝癌模型的构建方式
纯饮食构建非常难,周期特别长,10-12个月左右;几乎没人用;
DEN或者CCL4注射造成肝损伤+CD饮食辅助造模,比较常用,成模率很高。
注意事项
NASH病人当中,无肥胖的30%左右,肥胖的占70%左右,如果研究的是肥胖伴有NASH,那么,肥胖是必须条件之一;
模型构建方法众多,研究从不同的角度出发,模型饲料选择也会不同;
不同的实验动物品种和性别对于NASH模型的建立有一定的差别;
只有充分沟通整套实验方案,才能更加有利于模型饲料的推荐;
千万不要忘了,只有纯化型饮食才能设计CD、MCD、MRCD哦!
个人认为:模型构建难度:⭐⭐⭐⭐